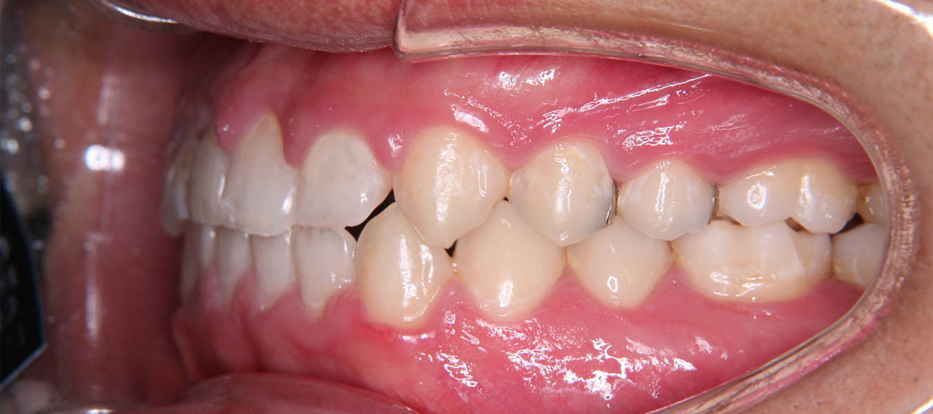
デコボコ
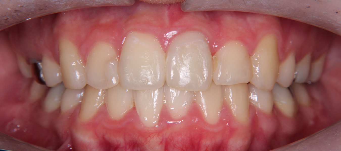
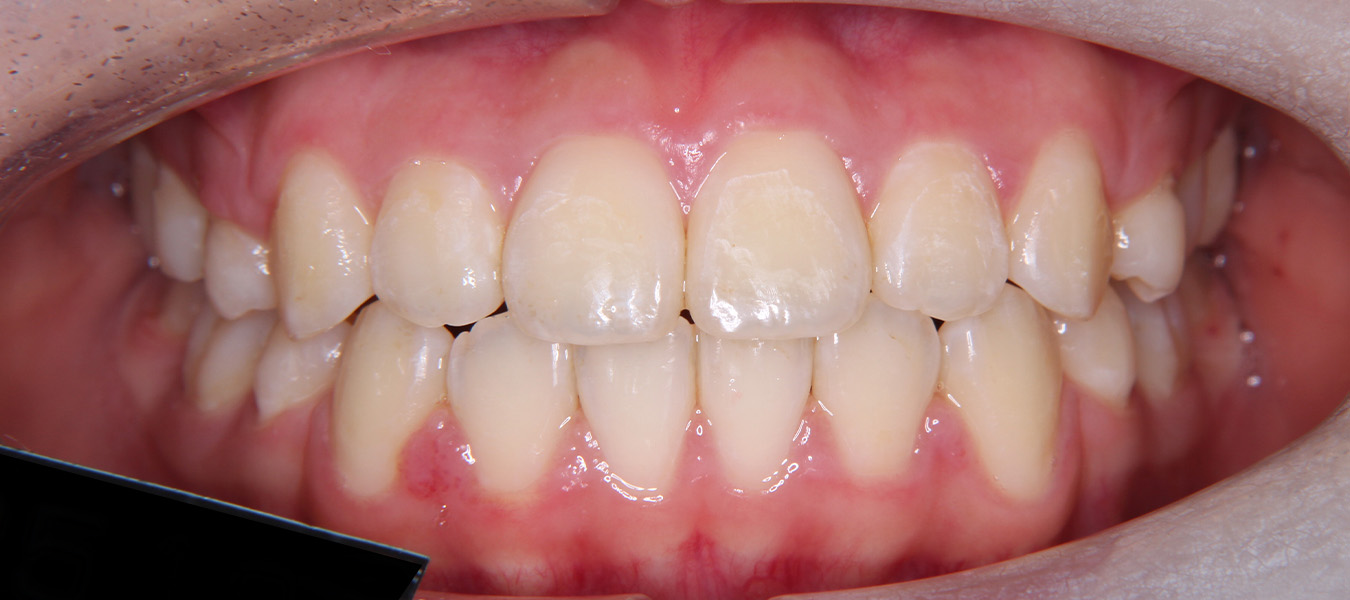
症例.1
Before



After



| 年齢・性別 | 20代・女性 |
|---|---|
| 主訴 | 歯のデコボコが気になる |
| 治療期間 | 28ヶ月 |
| 治療費 | 880,000円(税込) |
| 治療内容 | マルチブラケット装置・抜歯 |
| 治療のリスク | 歯肉退縮、歯根吸収、歯髄壊死、虫歯、治療後の後戻り |
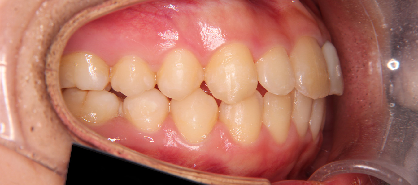
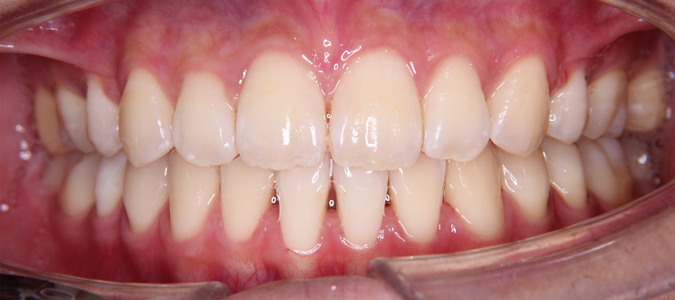
症例.2
Before



After



| 年齢・性別 | 10代・女性 |
|---|---|
| 主訴 | 歯のデコボコが気になる |
| 治療期間 | 30ヶ月 |
| 治療費 | 880,000円(税込) |
| 治療内容 | マルチブラケット装置・抜歯 |
| 治療のリスク | 歯肉退縮、歯根吸収、歯髄壊死、虫歯、治療後の後戻り |
症例.3
Before



After



| 年齢・性別 | 20代・女性 |
|---|---|
| 主訴 | 奥歯が噛んでない |
| 治療期間 | 22ヶ月 |
| 治療費 | 880,000円(税込) |
| 治療内容 | マルチブラケット装置・非抜歯 |
| 治療のリスク | 歯肉退縮、歯根吸収、歯髄壊死、虫歯、治療後の後戻り |
症例.4
Before



After



| 年齢・性別 | 20代・女性 |
|---|---|
| 主訴 | 歯のデコボコが気になる、正中が気になる |
| 治療期間 | 22ヶ月 |
| 治療費 | 880,000円(税込) |
| 治療内容 | カスタムメイド型マウスピース矯正装置、非抜歯 |
| 治療のリスク | 歯肉退縮、歯根吸収、歯髄壊死、虫歯、治療後の後戻り |
出っ歯
症例.1
Before



After



| 年齢・性別 | 10代・女性 |
|---|---|
| 主訴 | 出っ歯が気になる |
| 治療期間 | 24ヶ月 |
| 治療費 | 880,000円(税込) |
| 治療内容 | マルチブラケット装置・抜歯 |
| 治療のリスク | 歯肉退縮、歯根吸収、歯髄壊死、虫歯、治療後の後戻り |
症例.2
Before



After



| 年齢・性別 | 10代・女性 |
|---|---|
| 主訴 | 出っ歯が気になる |
| 治療期間 | 30ヶ月 |
| 治療費 | 880,000円(税込) |
| 治療内容 | マルチブラケット装置・抜歯・アンカースクリュー |
| 治療のリスク | 歯肉退縮、歯根吸収、歯髄壊死、虫歯、治療後の後戻り |
症例.3
Before



After



| 年齢・性別 | 20代・女性 |
|---|---|
| 主訴 | 上の歯が出ているのが気になる |
| 治療期間 | 24ヶ月 |
| 治療費 | 880,000円(税込) |
| 治療内容 | マルチブラケット装置・抜歯・アンカースクリュー |
| 治療のリスク | 歯肉退縮、歯根吸収、歯髄壊死、虫歯、治療後の後戻り |
すきっ歯
症例.1
Before



After



| 年齢・性別 | 20代・男性 |
|---|---|
| 主訴 | 歯のすき間が気になる |
| 治療期間 | 11ヶ月 |
| 治療費 | 770,000円(税込) |
| 治療内容 | マルチブラケット装置・非抜歯 |
| 治療のリスク | 歯肉退縮、歯根吸収、歯髄壊死、虫歯、治療後の後戻り |
症例.2
Before



After



| 年齢・性別 | 10代・男性 |
|---|---|
| 主訴 | 歯のすき間が気になる |
| 治療期間 | 20ヶ月 |
| 治療費 | 880,000円(税込) |
| 治療内容 | カスタムメイド型マウスピース矯正装置、非抜歯 |
| 治療のリスク | 歯肉退縮、歯根吸収、歯髄壊死、虫歯、治療後の後戻り |